Zahnkronen und Zahnbrücken - Ihr Zahnarzt für Prothetik in Luzern
Egal ob festsitzende Kronen-, Brücken- oder Implantatrekonstruktionen sowie abnehmbarer Zahnersatz, erschaffen wir, in der Zahnklinik Luzern, mit unserer modernen Zahnmedizin Ihre neuen Zähne nach Mass. Gerne können Sie uns diesbezüglich kontaktieren.
Die Basis für unsere anspruchsvolle, ästhetische Umsetzung Ihrer Zahnversorgung, ist unsere detailgenaue Diagnostik und Planung. Auf diese Weise, wird die für Sie jeweils optimale Lösung bei uns individuell auf Ihre Bedürfnisse abgestimmt.
Als spezialisierte Zahnärzte für perfekten Zahnersatz sind wir mit allen Arten von Zahnersatz vertraut und beraten Sie gerne zu der für Sie am besten passenden Lösung.
In enger Zusammenarbeit mit unserem Meisterlabor fertigen wir Ihren neuen Zahnersatz individuell für Sie als Unikat an. Denn unser oberstes Ziel ist Ihr strahlendes Lächeln und die Wiederherstellung Ihrer Lebensqualität.

Zahnersatz ermöglicht die Wiederherstellung Ihrer Gesichtsästhetik, Kaufunktion und Ihrer Sprachbildung, wenn ein Zahn oder mehrere Zähne fehlen.
Wir freuen uns Sie kennenzulernen.
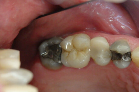
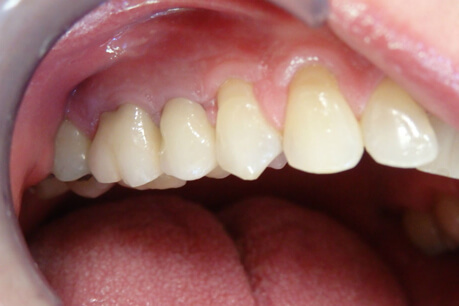
Zahnkronen - präzise, funktional und ästhetisch
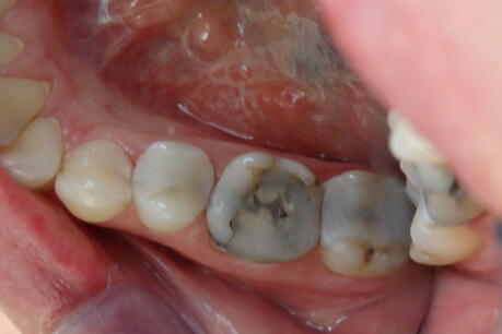
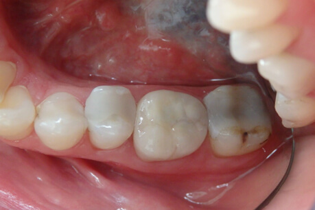
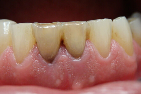
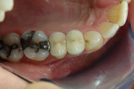
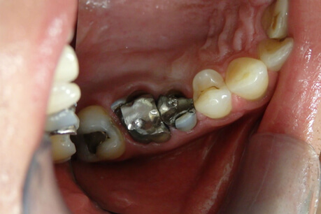
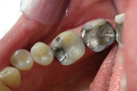
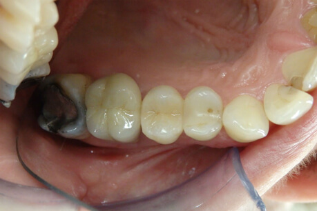
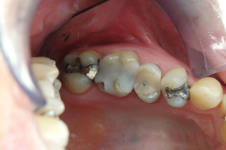
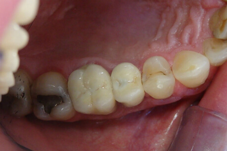
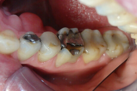
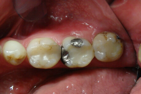
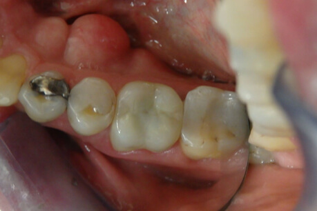
Wer kennt nicht, die von Weitem erkennbaren und unnatürlich wirkenden Kronen mit zusätzlich noch sichtbaren dunklen Kronenrändern? Sie haben deswegen Hemmungen zu lachen? Das muss nicht sein. Ist ein Zahn weitgehend defekt oder müssen alte Zahnkronen ausgetauscht werden, sind wir Ihre Partner für hochwertige Kronen und Brückenversorgungen aus Keramik.
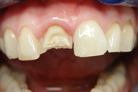
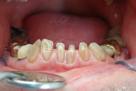
Zahnkronen sind eine Option für Zähne, die durch Fäulnis oder andere äussere Einflüsse geschädigt wurden. Sie werden über den beschliffenen Zahn gesetzt, ähnlich wie eine Kappe und auf diesem zementiert. Kronen kräftigen den eigenen Zahn und geben ihm Stabilität.
Die Versorgung eines Zahnes mit einer Zahnkrone, ist allerdings nur möglich, wenn der noch vorhandene Teil des Zahns gesund und stabil ist. Auch dürfen keine krankhaften Befunde im Wurzel- oder Knochenbereich vorliegen. Ansonsten müssen die Befunde vor der Behandlung behoben werden. Denn eine Zahnkrone ist nur so gut, wie das darunterliegende Fundament.
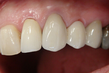
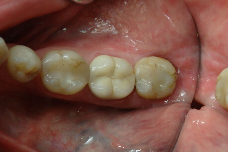
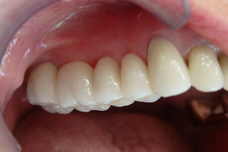
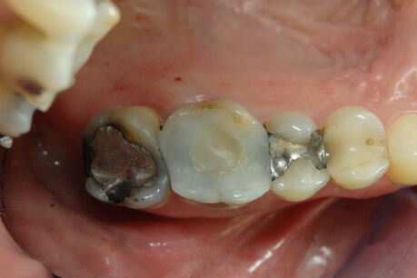
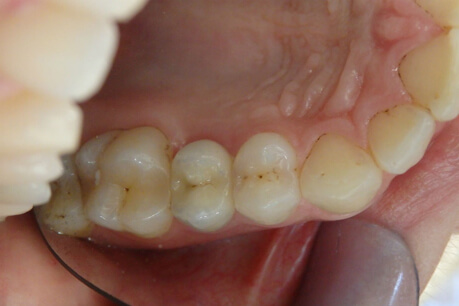
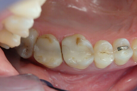
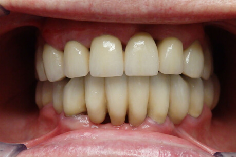
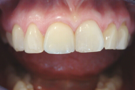
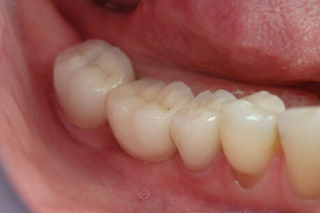
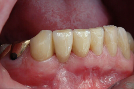
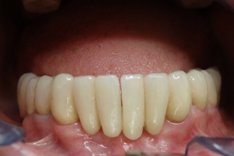
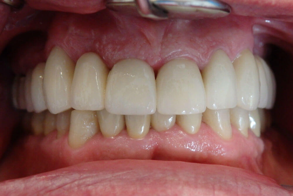
Wir verwenden metallfreie Vollkeramikkronen, die im sichtbaren und ästhetisch anspruchsvollen Bereich einer herkömmlichen Metallverblendkrone vorzuziehen sind, da sie ein deutlich perfekteres kosmetisches Ergebnis erzielen. Sie zeichnen sich durch eine überragende Ästhetik aus, da eine Lichtreflektion und Transparenz (Durchscheinen) der Krone wie bei einem natürlichen Zahn entsteht.
Ein weiterer Vorteil der metallfreien Konstruktion ist der zahnfarbene Rand, der uns einen unsichtbaren Übergang zum Zahnfleisch garantiert. Bei herkömmlichen Kronen ist ein dunkler oder gar schwarzer Schatten am Zahnfleischrand oft nicht zu vermeiden.
Ein "Absplittern/Chip-off" wird durch die Verwendung von speziellen Keramiken vermieden.
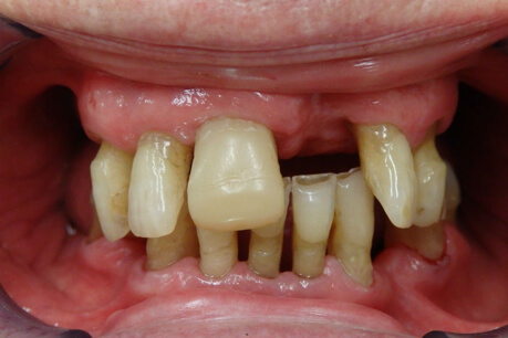
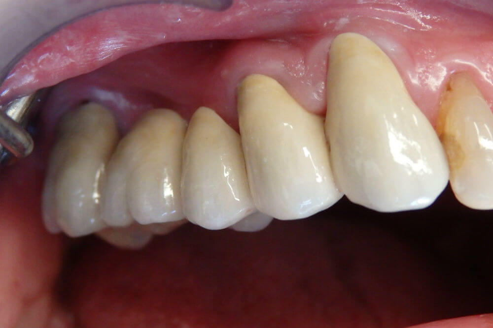
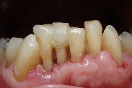
Brücken - Ihr ästhetischer Lückenschluss
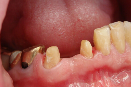
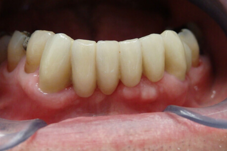
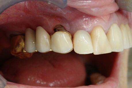
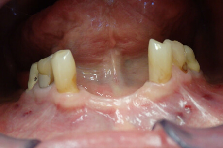
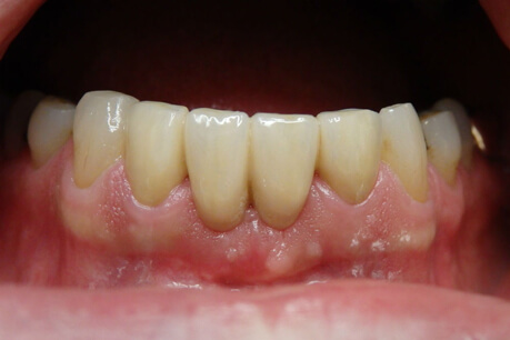
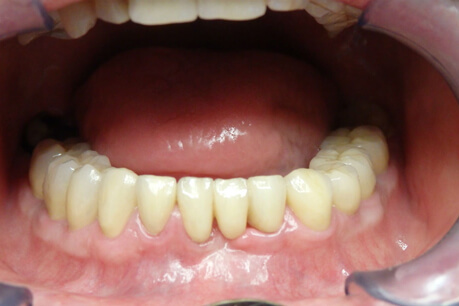
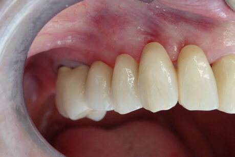
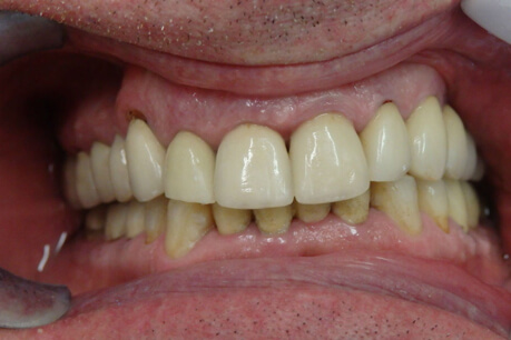
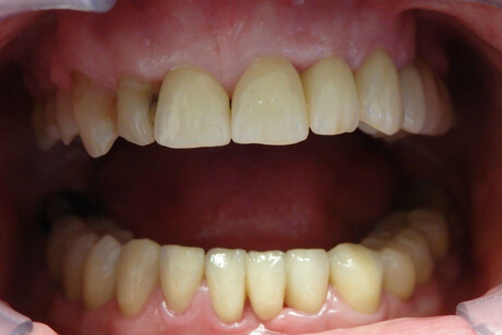
Geht ein ganzer Zahn mitsamt Wurzel verloren, ist es möglich, die entstandene Lücke mit einer festsitzenden Brücke zu schliessen. Auch hier verwenden wir metallfreie Brücken aus Vollkeramik. Denn Keramikkronen und Keramikbrücken sind bei Ihrem Zahnarzt Luzern im wahrsten Sinne des Wortes unsichtbare Schmuckstücke.
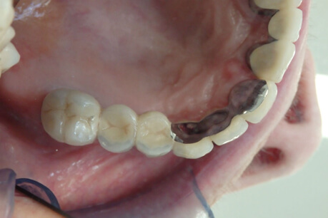
Eine Brücke benötigt zwei gesunde Nachbarzähne als Befestigungspfeiler. Die Brücke wird an beide tragende Pfeiler zementiert und das Zwischenglied, welches die Lücke füllt, sitzt auf dem Zahnfleisch auf.
Brücken können je nach Fall eine Alternative zu Zahnimplantaten sein.
Meist fällt die Wahl auf eine festsitzende Konstruktion, doch möglich ist auch die abnehmbare Variante. Bei Unfällen und akuten Schäden können Sie sich natürlich sofort an Ihren Notfallzahnarzt Luzern wenden.
Fragen.
Was sind Kronen und Brücken?
Kronen und Brücken sind festsitzender Zahnersatz: Kronen verstärken stark geschädigte Zähne, Brücken ersetzen fehlende Zähne und schliessen Lücken.
Wie lange halten Kronen und Brücken?
Sie werden individuell geplant und in Zusammenarbeit mit einem Meisterlabor gefertigt. Ziel sind stabile, funktionale und ästhetische Versorgungen mit hoher Langlebigkeit.
Kann man eine Brücke an einer Krone befestigen?
Eine Brücke benötigt zwei tragende Nachbarzähne als Pfeiler. Die Brücke wird an diesen Pfeilern zementiert; das Zwischenglied füllt die Lücke und liegt auf dem Zahnfleisch auf.
Ist eine Brücke besser als ein Implantat?
Das hängt vom Befund ab. Brücken können je nach Fall eine Alternative zu Implantaten sein; die optimale Lösung wird individuell geplant und abgestimmt.
Wo kann man Kronen und Brücken machen lassen?
In der Zahnklinik Luzern – mit detailgenauer Diagnostik, individueller Planung und metallfreien Vollkeramik-Lösungen, gefertigt in Zusammenarbeit mit unserem Meisterlabor.
Dr. med. Dr. med. dent. Rosanna Himmelfarb
Veröffentlichung: 17.07.2024 (Aktualisiert: 03.09.2025)
Dieser Artikel entspricht dem aktuellen Stand der Wissenschaft.