Unsichtbare Zahnfüllungen aus Keramik: Perfekte Passform, perfekte Ästhetik
Wir in der Zahnklinik Luzern sind auf metallfreien, zahnfarbenen Zahnersatz spezialisiert.
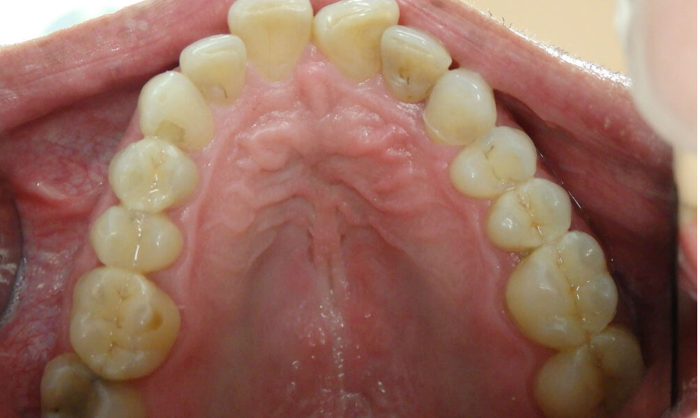
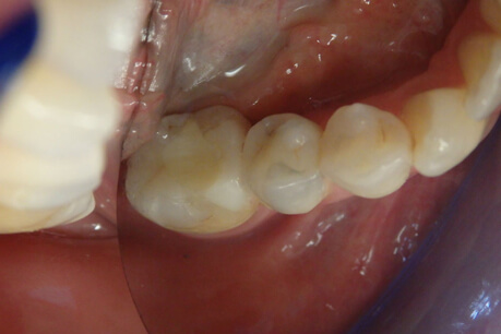
Zahnersatz aus Keramik - Inlays oder Onlays, werden bei grösseren Zahndefekten oder grösseren defekten Kunstofffüllungen empfohlen. Es hat die Vorteile sehr gut körperverträglich, langzeitstabil, biokompatibel, minimalinvasiv und allergiefrei zu sein. Er liefert auch die ästhetisch hochwertig, schönsten Ergebnisse, da Zahndefekte unsichtbar behoben werden können. Für das menschliche Auge ist der Unterschied zwischen Inlay und Zahn kaum sichtbar, gerade so, als wäre nie etwas gewesen. Dies ist ein grosser Vorteil im Bereich der Zahnflächen die beim Lachen und Reden sichtbar sind.
Unser Ziel ist es immer sehr natürliche, hochästhetische Ergebnisse für unsere Patienten zu erzielen.
Vorher- nachher Bilder
Die Behandlung: Schritt für Schritt zu Ihrem neuen Inlay/Onlay
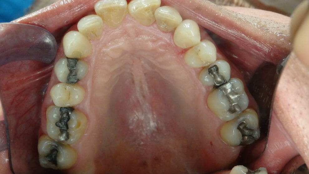
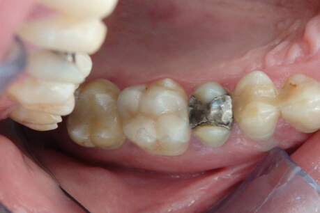
Voraussetzungen für Versorgungen mit Inlays / Onlays sind die schonende Entfernung der alten Amalgam - oder Kunstofffüllung und der Aufbau des inneren Kerns mit einem zahnstabilisierenden Material. Da es sich um laborgefertigte Füllungen aus Hochleistungskeramik handelt, wird nach der Präparation der Inlay- / Onlayform ein Abdruck genommen. Die vorbereitete Öffnung wird mit einem Provisorium verschlossen.
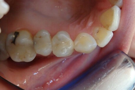
Bei einem zweiten Termin wird das auf die individuelle Anatomie Ihrer Kauflächen, pass- und farbgenaue Keramikinlay, dann spaltfrei mit Ihrem Zahn verklebt (adhäsiv befestigt). Dieses moderne Verfahren ermöglicht eine sehr lang haltbare und stabile Versorgung Ihres natürlichen Zahnes.
Langlebigkeit und Qualität: Die Vorteile von Keramik-Inlays/Onlays
Versorgungen mit Keramikinlays-/onlays haben meist eine Haltbarkeit von über 15 Jahren. Dagegen müssen herkömmliche Kunststofffüllungen meist nach 5-7 Jahren erneuert werden.
Bei Amalgamfüllungen stellt sich eine ständig wirkende Korrosion ein, so dass diese Füllungen mit der Zeit expandieren und schliesslich zur Fraktur Ihrer eigenen umgebenden Zahnsubstanz führt. Deswegen empfehlen wir, bevor es zu einem Notfall kommt und Ihr eigener Zahn bricht, die grossflächigen Amalgamfüllungen durch minimalinvasive Therapien, wie ästhetisch hochwertige Keramik-Inlays oder Onlays im Seitenzahnbereich zu ersetzen.
Wenn Sie auf unsichtbare und langlebige Füllungen Wert legen, sind laborgefertigte Keramik-Inlays oder Teilkronen (Onlays) die schönste und naturgetreueste Alternative bei Zahnfüllungen.

Laborgefertigt versus direkt gefräst: Warum wir uns für höchste Qualität entscheiden
Wir bevorzugen die indirekte, laborgefertigte Herstellungsmethode, statt die direkt am Stuhl gefrästen Inlays z.B. CEREC®.
Die Vorteile der Laborinlays liegen im Randschluss (Passung), der Oberflächengüte und Farbe (Glanzbrand), sowie in der Funktion (Kauflächengestaltung).
Nur der Vorteil, dass am Stuhl gefertigte Computer-Inlays in der gleichen Sitzung eingesetzt werden können und diese wesentlich kostengünstiger sind (Laborkosten entfallen), erscheint für den Patienten vorteilhaft. Jedoch dauert eine solche Sitzung länger als die zwei einzelnen Sitzungen für ein Laborinlay zusammengerechnet.
Aus unserer Sicht sollte man bei der Investition in eine Inlayversorgung lieber die höherwertigen laborgefertigten Inlays wählen. Eine Investition die sich durch die Langlebigkeit und Qualität klar auszahlt.
Gerne stehen wir Ihnen für weitere Fragen zur Verfügung. Kontaktieren Sie uns einfach.
Patientvideo
https://www.youtube.com/embed/6X7Y9xGvw1Y?enablejsapi=1&autoplay=1
Fragen.
Was ist besser, Inlay oder Füllung?
Inlays bieten gegenüber herkömmlichen Füllungen eine deutlich höhere Präzision, Stabilität und Langlebigkeit. Sie sind die ideale Wahl für grössere Zahndefekte, da sie den Zahn langfristig stabilisieren und die Gefahr einer erneuten Beschädigung minimieren. Unsere Keramik-Inlays können über 15 Jahre halten, während Füllungen oft schon nach 5-7 Jahren erneuert werden müssen.
Was versteht man unter einem Inlay?
Ein Inlay ist eine laborgefertigte Einlagefüllung aus hochwertiger Keramik, die exakt an die Form Ihres Zahns angepasst wird. Im Gegensatz zu direkten Füllungen wird das Inlay nicht im Mund geformt, sondern im Labor hergestellt und in einem zweiten Termin spaltfrei mit dem Zahn verklebt. Dieses Verfahren sorgt für eine perfekte Passform und Stabilität.
Was ist zurzeit das beste Material für Zahnfüllungen?
Das beste Material für Zahnfüllungen ist Keramik, da es biokompatibel, zahnfarben und extrem langlebig ist. Es bietet nicht nur eine hervorragende Ästhetik, da der Unterschied zum echten Zahn kaum sichtbar ist, sondern auch eine hohe Stabilität. Anders als bei Amalgam gibt es keine Korrosionsgefahr.
Was sind die Vorteile von Inlays?
Die Vorteile von Inlays sind ihre perfekte Ästhetik, lange Haltbarkeit und hohe Biokompatibilität. Da sie laborgefertigt sind, passen sie exakt in den Zahn, stabilisieren ihn optimal und sind dabei körperverträglich und allergiefrei. Im Vergleich zu Füllungen sind sie eine überlegene und nachhaltige Lösung.
Wo kann man Inlays und Onlays machen lassen?
Sie können Inlays und Onlays bei uns, der Zahnklinik Luzern, machen lassen. Wir sind auf metallfreien, zahnfarbenen Zahnersatz spezialisiert und bevorzugen die laborgefertigte Herstellungsmethode, um höchste Qualität, Langlebigkeit und eine perfekte Ästhetik zu gewährleisten.
Dr. med. Dr. med. dent. Rosanna Himmelfarb
Veröffentlichung: 17.07.2024 (Aktualisiert: 03.09.2025)
Dieser Artikel entspricht dem aktuellen Stand der Wissenschaft.